سلامتی·۱ سال پیشروشهای پیشرفته درمان واریس با کمک متخصصان برترواریس یکی از مشکلات شایع عروقی است که علاوه بر تأثیر بر زیبایی ظاهری، میتواند موجب ناراحتی، درد و حتی عوارض جدیتر مانند لختههای خونی یا…
سلامتی·۲ سال پیشگردش خون ضعیف در پاها چه مشکلاتی ایجاد میکند؟گردش خون در بدن به معنای جریان یافتن خون در رگهای خونی است. این جریان خون، اکسیژن و مواد مغذی مورد نیاز سلولهای بدن را به آنها میرساند و…
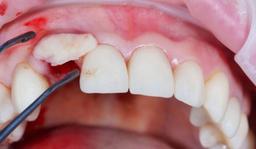
سلامتی·۲ سال پیشدرمان شکستن دندان جلو از ریشه + ترمیم دندان جلوییشکستن دندان جلو از ریشه یک نوع شکستگی جدی است که میتواند منجر به از دست دادن دندان شود. این نوع شکستگی معمولاً در اثر ضربه یا آسیب شدید به…
سلامتی·۲ سال پیشبعد از کشیدن دندان کی غذا بخوریم؟دندانپزشکان توصیه میکنند: حداقل یک ساعت پس از کشیدن دندان، غذا نخورید. به این دلیل که خونریزی بعد از گذشت یک ساعت متوقف می شود و گاز پانسم…
سلامتی·۳ سال پیشعلائم تشدید واریس بر اثر استرس را بدانید!استرس میتواند علائم واریس را تشدید کند. استرس باعث افزایش فشار خون درنتیجه باعث افزایش فشار بر رگها میشود. این فشار اضافی میتواند باعث…
سلامتی·۳ سال پیشفرق پوسیدگی و تغییر رنگ دندان + روشهای درماندندانها از مهمترین اعضای بدن هستند که نقش مهمی در زیبایی و سلامتی فرد ایفا میکنند. داشتن دندانهای سالم و سفید، اعتماد به نفس افراد را ا…
سلامتی·۳ سال پیشکمبود چه ویتامینی باعث بی حسی دست و پا میشود؟بی حسی دست و پا یکی از شایع ترین مشکلاتی است که افراد در طول زندگی خود با آن مواجه می شوند. این مشکل می تواند دلایل مختلفی داشته باشد، از ج…
سلامتی·۳ سال پیشآیا درد دندان بعد از روکش طبیعی است؟روکش های دندانی به طور کلی یک درمان ایمن و موثر و پر کاربرد در دندانپزشکی برای حفظ دندان طبیعی بیمار هستند، با این حال مانند هر روش درمان د…
سلامتی·۳ سال پیشروکش دندان جلو پایین معمولی باشد یا سرامیکی؟روکش دندان یک روش پرکاربرد در دندانپزشکی است که برای بهبود ظاهر، شکل، یا عملکرد دندان استفاده می شود. روکش دندان یک پوشش محافظ است که روی…
سلامتی·۳ سال پیشبیماریهایی که به دلیل ضعف دریچههای لانه کبوتری ایجاد میشونددریچههای لانه کبوتری، دریچههای کوچکی هستند که در امتداد سیاهرگها قرار دارند. این دریچهها به جلوگیری از جریان خون به عقب کمک میکنند و ب…