امیر امیرانی·۳ ماه پیشاهمیت استریل بودن مطب دندانپزشکی؛ سلامت شما در اولویت استاهمیت استریل بودن مطب دندانپزشکی چیست؟ بررسی نقش استریلیزاسیون در جلوگیری از انتقال عفونت، تفاوت ضدعفونی و استریل و نکات مهم انتخاب مطب ایم…
تجهیزات دندانپزشکی درنیکا·۲ سال پیشتجهیزات دندانپزشکی درنیکاشرکت پردیس طب دُرنیکا در سال 1401 بعنوان مجهزترین شوروم مولتی برند تجهیزات، ابزار و لوازم دندانپزشکی شرق کشور تاسیس گردید تا بتواند خلا وجو…
علی ابوالحسنی·۳ سال پیشچطور یک دندانپزشک برند شخصی خود را ارتقا دهد؟(علی ابوالحسنی ، مشاور کسب و کار تخصصی دندانپزشکان)علی ابوالحسنی بیزینس کوچ تخصصی دندانپزشکان ، مشاوره کسب و کار برای افزایش مراجع کننده به مطب و کلینیک دندانپزشکی.درخواست مشاوره ۰۹۳۶۷۲۹۳۹۳۴
َشرکت طراحی و معماری شیپ·۳ سال پیشعوامل موثر بر طراحی مطب دندانپزشکیطراحی مطب دندانپزشکی با توجه به کاربری و نیازهای مراجعه کنندگان، اصول خاصی دارد، عواملی که بر دیزاین مطب تاثیر دارد را معرفی کرده ایم
علی ابوالحسنی·۳ سال پیشچطور و از کجا برای مطب دندانپزشکی جذب بیمار انجام دهیم؟(علی ابوالحسنی، بیزینس کوچ اختصاصی دندانپزشکان)بهترین تکنیک های جذب بیمار در مطب دندانپزشکی
ptrKdent·۳ سال پیشراه اندازی صفر تا 100 مطب دندانپزشکیهزینه راه اندازی مطب دندانپزشکیراه اندازی مطب دندانپزشکی: با توجه به پیشرفت علم و تولید تجهیزات نوین دندانپزشکی، تجهیزات مورد نیاز برای را…
استودیو آرانو·۴ سال پیشبررسی و مقایسه طرح 2 مطب دندانپزشکیدر طراحی داخلی همه فضاهای درمانی از جمله مطب های دندانپزشکی هرچه بهتر بتوانیم آسایش، آرامش و زیبایی را تامین کنیم، می توانیم محیط لذت بخش ت…
dr.yosrasafiee2·۵ سال پیشنخ دندان؛ نخ معجزه گر!نخ دندان؛ یک نخ چند رشتهای یا گاهی تکرشتهای است که برای برداشتن پلاک و خارج کردن موادغذائی باقیمانده در فواصل بین دندانی کاربرد دارد.
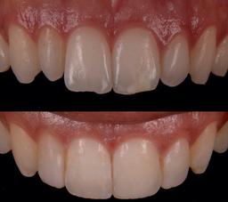
سهیلا احمدی·۶ سال پیشکامپوزیت دندان چیست؟ چه مدت دوام دارد؟مهم است که از عادت هایی مانند باز کردن بسته بندی غذا با دندان ، جویدن کلاه قلم و گاز گرفتن ناخن های خود جلوگیری کنید.