خار پاشنه: وقتی گام های زندگی دوباره لذت بخش می شوند

آیا تا به حال تجربه ی درد تیز و سوزاننده ای را در پاشنه پای خود داشته اید که با هر گام، حس خنجری بر قلب شما وارد می کند؟ دردی که صبح ها پس از بیدار شدن به اوج می رسد و پس از اندکی فعالیت،شاید کمی آرام گیرد اما با استراحت دوباره بازمی گردد؟ این توصیف رایج از وضعیت دردناک خار پاشنه است،عارضه ای شایع که می تواند کیفیت زندگی روزمره را به شدت تحت تأثیر قرار دهد و مانع از انجام ساده ترین فعالیت ها شود . در این مقاله، به بررسی ابعاد مختلف خار پاشنه و چگونگی بازیابی سلامت و بازگشت به ورزش و فعالیت های لذت بخش خواهیم پرداخت.
خار پاشنه: پاشنه ای که تیغ می کشد
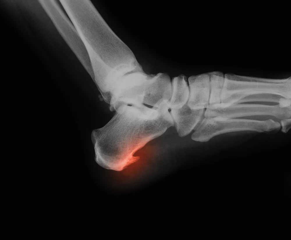
خار پاشنه،که از نظر پزشکی به عنوان رسوب کلسیم در زیر استخوان پاشنه (استخوان کالکانئوس) شناخته می شود، اغلب نتیجه کشیدگی و التهاب طولانی مدت رباط کف پا (فاسیا پلانتار) است. این رباط از پاشنه تا انگشتان پا کشیده شده و نقش حیاتی در حمایت از قوس کف پا ایفا می کند. فشار مکرر،پوشیدن کفش نامناسب، اضافه وزن،ناهنجاری های پا و ایستادن طولانی مدت می تواند به این رباط آسیب رسانده و در نهایت منجر به تشکیل خار پاشنه و التهاب مزمن در ناحیه اتصال آن به استخوان پاشنه شود.
علامت اصلی آن، درد شدید در پاشنه است که معمولاً صبح ها یا پس از دوره های طولانی استراحت بدتر می شود. این درد می تواند تا حدی طاقت فرسا باشد که فرد را از راه رفتن طبیعی بازدارد و بر تمام جنبه های زندگی او سایه افکند.
تداوم درد و چالش های زندگی روزمره
تصور کنید که هر صبح با درد از خواب بیدار می شوید،هر قدم برایتان رنج آور است و مجبورید فعالیت های مورد علاقه خود را کنار بگذارید. این واقعیت تلخ برای بسیاری از افراد مبتلا به خار پاشنه است:
محدودیت در ورزش و فعالیت بدنی: از جمله اولین فعالیت هایی که تحت تأثیر قرار می گیرد، ورزش و پیاده روی است . درد مانع از دویدن،پریدن و حتی راه رفتن طولانی می شود . این امر به تدریج منجر به کاهش سلامت جسمانی،افزایش وزن و بروز مشکلات ثانویه دیگر می گردد.
تأثیر بر کار و حرفه: بسیاری از مشاغل نیازمند ایستادن یا راه رفتن برای مدت طولانی هستند . خار پاشنه می تواند انجام وظایف شغلی را غیرممکن کرده و حتی به از دست دادن شغل منجر شود.
کاهش کیفیت زندگی اجتماعی: افراد مبتلا به دلیل درد، از شرکت در فعالیت های اجتماعی، سفرها یا حتی پیاده روی های ساده با دوستان و خانواده اجتناب می کنند، که به مرور زمان منجر به انزوا و کاهش رضایت از زندگی می شود .
اختلال در خواب و آرامش روانی: درد مزمن می تواند الگوی خواب را مختل کرده و منجر به بی خوابی و در نتیجه خستگی و تحریک پذیری در طول روز شود . این وضعیت به مرور زمان بر سلامت روانی فرد نیز تأثیر منفی می گذارد.
راهکارهایی برای تسکین و بهبود: بازگشت به مسیر سلامت
خبر خوب این است که خار پاشنه یک وضعیت قابل درمان است و راه های مؤثر بسیاری برای تسکین درد و بازگشت به زندگی فعال و بدون درد وجود دارد . نادیده گرفتن درد یا اتکا به مسکن های موقت،راه حل پایداری نیست.
خودمدیریتی اولیه: در مراحل اولیه،استراحت، استفاده از کمپرس یخ،کفش های طبی مناسب، کفی های طبی مخصوص و انجام تمرینات کششی ملایم برای رباط کف پا می تواند کمک کننده باشد.
اهمیت تشخیص و درمان تخصصی: برای درمان مؤثر و ریشه ای،مراجعه به متخصصین ارتوپدی و فیزیوتراپی ضروری است. تشخیص دقیق با معاینه بالینی و در صورت لزوم تصویربرداری (مانند عکسبرداری اشعه ایکس) اولین گام است. سپس، متخصصین می توانند برنامه درمانی شخصی سازی شده ای را ارائه دهند.
فیزیوتراپی: شامل تمرینات کششی و تقویتی، درمان های دستی، لیزردرمانی و اولتراسوند .
شاک ویو تراپی (ESWT): یک روش غیرتهاجمی و بسیار مؤثر که با ارسال امواج صوتی به ناحیه آسیب دیده، روند بهبود را تسریع می کند .
تزریقات: در برخی موارد،تزریق داروهای ضدالتهاب یا پلاسمای غنی از پلاکت (PRP) می تواند در کاهش درد و التهاب کمک کننده باشد .
جراحی: در موارد بسیار نادر و پس از شکست سایر روش های درمانی، ممکن است جراحی برای آزادسازی رباط کف پا توصیه شود.
کلینیک های تخصصی مانند کلینیک سلیم ارتو، با بهره گیری از دانش روز و پیشرفته ترین تجهیزات،رویکردی جامع و چندجانبه برای درمان خار پاشنه ارائه می دهند . تیمی از متخصصین متعهد در کنار شما خواهند بود تا بهترین مسیر درمانی را برای شما ترسیم کرده و شما را به سلامت کامل و زندگی بدون درد بازگردانند .
بازگشت به زندگی فعال با سلامت کامل
هدف نهایی از درمان خار پاشنه،تنها تسکین درد نیست،بلکه بازگرداندن شما به زندگی فعال، توانایی انجام ورزش و لذت بردن از هر گامی است که برمی دارید . با پیگیری یک برنامه درمانی مناسب و جامع، می توانید دوباره قدم هایتان را با اطمینان بردارید،به فعالیت های مورد علاقه تان بازگردید و کیفیت زندگی خود را ارتقا بخشید .
نتیجه گیری
خار پاشنه یک مشکل صرفاً فیزیکی نیست؛ بلکه عارضه ای است که می تواند به طور عمیق بر کیفیت زندگی،سلامت جسمی و روانی و توانایی شما برای انجام ورزش تأثیر بگذارد. نادیده گرفتن این درد،نه تنها آن را درمان نمی کند، بلکه ممکن است منجر به مزمن شدن وضعیت و مشکلات بیشتری شود.
پس از تجربه این درد طاقت فرسا، وقت آن است که گامی در مسیر سلامت خود بردارید . با مراجعه به یک مرکز تخصصی مانند کلینیک سلیم ارتو، می توانید از تشخیص دقیق، درمان های نوین و مشاوره های تخصصی بهره مند شوید . اجازه ندهید خار پاشنه شما را از زندگی و لذت های آن محروم کند . امروز برای بازگشت به یک زندگی فعال و بدون درد، اقدام کنید . گام های شما،شایسته آزادی از درد هستند .
خار پاشنه: از تشخیص تا درمان قطعی
برای رهایی از درد خار پاشنه و دریافت برنامه درمانی تخصصی، همین حالا با کلینیک سلیم ارتو تماس بگیرید.
خار پاشنه
مطلبی دیگر از این انتشارات
نقش تغذیه و تراکم استخوان در پیشگیری از پیشرفت اسکولیوز
مطلبی دیگر از این انتشارات
کفی طبی آماده یا سفارشی برای خار پاشنه؟
مطلبی دیگر از این انتشارات
مدیریت استرس مزمن: کاهش تشدید درد اسکولیوز و بهبود خواب