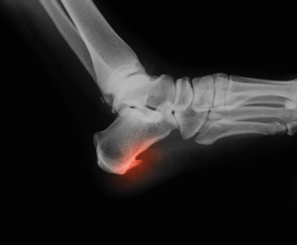
پستهای مرتبط با خار پاشنه تعداد کل پستها: ۲ سایر پستها با این تگ در ویرگول مهدی رحمانی در تن سالم ۴ روز پیش - خواندن ۵ دقیقه کفی طبی آماده یا سفارشی برای خار پاشنه؟ خار پاشنه: کفی طبی آماده تسکین فوری میدهد یا کفی سفارشی (با اسکن کف پ... مهدی رحمانی در تن سالم ۱ ماه پیش - خواندن ۵ دقیقه خار پاشنه: وقتی گام های زندگی دوباره لذت بخش می شوند آیا تا به حال تجربه ی درد تیز و سوزاننده ای را در پاشنه پای خود داشته...
مهدی رحمانی در تن سالم ۴ روز پیش - خواندن ۵ دقیقه کفی طبی آماده یا سفارشی برای خار پاشنه؟ خار پاشنه: کفی طبی آماده تسکین فوری میدهد یا کفی سفارشی (با اسکن کف پ...
مهدی رحمانی در تن سالم ۱ ماه پیش - خواندن ۵ دقیقه خار پاشنه: وقتی گام های زندگی دوباره لذت بخش می شوند آیا تا به حال تجربه ی درد تیز و سوزاننده ای را در پاشنه پای خود داشته...