فرهاد قربانپور·۱ سال پیشدرمان تحلیل لثه با پیوند بافت نرم https://www.aparat.com/v/vvwpziv تحلیل لثه یا عقبنشینی لثه مشکلی است که در آن بافت لثه از سطح دندانها عقبنشینی کرده و ریشه دندانها را…
zahra mehrumand·۳ سال پیشتحلیل لثههمانطور که گفته شد، تحلیل لثه به معنای عقب نشینی بافت لثه به سمت ریشه دندان است. برای تشخیص تحلیل لثه، سادهترین راه همان مراجعه به متخصص…
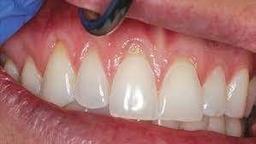
سلامتی·۳ سال پیشعلائم و درمان لثه تحلیل رفته بدون جراحیاگر بافت لثه به سمت عقب متمایل شده و اصطلاحاً عقب نشینی کند و یا به هر نحوی ریشه دندانها را نمایان کرده و در معرض خطرات احتمالی قرار دهد،…
Negar Azar·۴ سال پیشآیا ایمپلنت دندان برای جلوگیری از تحلیل لثه انتخاب درستی است؟بیماری لثه تحلیل رفته و تاثیر آن بر ایمپلنت دندانتحلیل رفتن لثه معمولا به دلیل بیماری های طولانی مدت یا شدید لثه اتفاف می افتد. قبل از این…