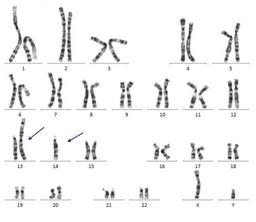
آزمایشگاه اریتروژن·۳ سال پیشآزمایش کاریوتایپ؛ روشی برای بررسی ناهنجاری های کروموزومیکاریوتایپ فرآیند جفت شدن و مرتب کردن تمام کروموزومهای یک ارگانیسم است، بنابراین یک تصویر ژنومی از کروموزومهای یک فرد ارائه میکند. کاریوت…
دایا اکسیر | شرکت فروش مواد شیمیایی آزمایشگاهی·۴ سال پیشکاریوتایپ چیست؟ روش های انجام آن چگونه است؟در مطلب قبلی در مورد واکسن و انواع آن صحبت کردیم. در این مطلب از دایا اکسیر که فروش مواد شیمیایی آزمایشگاهی را انجام می دهد، می خواهیم کاری…
دایا اکسیر | شرکت فروش مواد شیمیایی آزمایشگاهی·۴ سال پیشکاریوتایت (karyotype) چیست؟ روش های انجام آن چگونه است؟در این مطلب به طور مفصل در مورد کاریوتایپ صحبت شده و مراحل تهیه آن و روش های رنگ آمیزی کروموزم ها نیز بیان شده است. | دایا اکسیر
behpouriahi·۵ سال پیشکاریوتایپ ( karyotype )آزمایش کاریوتایپ تعداد، شکل و سایز کروموزوم های شما را مشخص می کند. کروموزوم ها در واقع محتوای ژنی شما و بخشی از سلول هستند که از پدر و م…
نازنین رحمانی·۶ سال پیشکاریوتایپ، نقشه کروموزومیِ ماپست قبلی رو اگه خونده باشین حتماً یادتونه که گفتم زبان حیات با چهار حرف ATCG اولین قدم برای دونستن ساز و کار حیاته. گفتم حالا باید بتونیم ز…