فرهاد قربانپور·۱ سال پیشفرایند حذف پوسیدگی https://www.aparat.com/v/ogl17x1 پوسیدگی دندان یکی از شایعترین مشکلات دهان و دندان است که به دلیل تجمع باکتریها و ایجاد پلاکهای دندانی…
دکتر علی مرادی کلان·۱ سال پیشخشکی دهانبزاق با خنثیکردن محصولات اسیدی باکتریها، جلوگیری از رشد باکتریها و شستن ذرات غذا، به جلوگیری از پوسیدگی دندان کمک میکند
shadi·۲ سال پیشرازهای جلوگیری از پوسیدگی دندان و حفظ سلامت دهان و دندانپوسیدگی دندان یکی از شایعترین مشکلات دندانی است که زندگی میلیونها نفر را در سراسر جهان تحت تاثیر قرار میدهد و در صورت عدم درمان میتواند…
دکتر عبدالرضا جمیلیان متخصص ارتودنسی·۲ سال پیشجرم گیری دندان چیست؟ 3تا از مهم ترین فواید آنبرخی از افراد تصور میکنند که جرم گیری دندان به مینای آن آسیب می زند؛ بنابراین نسبت به این اقدام مهم تردید دارند. اگر شما نیز جزء این دسته…
سلامت دندان·۲ سال پیشبهترین زمان انجام فیشور سیلانتبرای مشاهده محصولات دندانپزشکی و خرید فیشور سیلانت دندان، به فروشگاه دنتیوا به آدرس dentiwa.com مراجعه کنید.
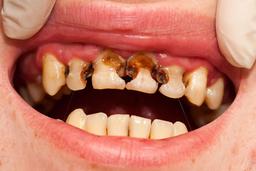
سلامتی·۲ سال پیشفرق پوسیدگی و تغییر رنگ دندان + روشهای درماندندانها از مهمترین اعضای بدن هستند که نقش مهمی در زیبایی و سلامتی فرد ایفا میکنند. داشتن دندانهای سالم و سفید، اعتماد به نفس افراد را ا…
بهداشت و سلامت دهان·۲ سال پیشنحوه تشخیص پوسیدگی دندان و روش درمان آناز علائم پوسیدگی دندان بوی بد دهان و حساسیت دندان به مواد غذایی گرم و سرد است. معمولا پوسیدگی دندان در مراحل اولیه علامت و عوارضی ندارد.
تیم دندانپزشکی نیل·۲ سال پیشجلوگیری از پوسیدگی دندان کودکانجلوگیری از پوسیدگی دندان کودکانچگونه با کنترل تغذیه در کودکان از ایجاد پوسیدگی در آنها جلوگیری کنیم؟پوسیدگی زودرس در کودکان را چگونه کنترل …
netwarestudio·۲ سال پیشعوامل موثر در پوسیدگی دندان بعد از لمینت دندانیکی از انواع روش های اصلاح طرح لبخند، لمینت دندان است که برای پوشاندن بدشکلی، بد رنگی، شکستگی و ترک خوردگی دندان ها مورد استفاده قرار می گی…